Projects ๐

โ๏ธ Synthetic Augmentation of Smartwatch Data
In Collaboration with Heidelberg Institute of Global Health (HIGH)
Developed a machine learning pipeline for early infectious disease detection using smartwatch data. Leveraged GANs to impute missing resting heart rate data, improving data completeness and anomaly detection accuracy. Combined a novel LSTM-autoencoder with a finite-state machine, outperforming traditional methods. Demonstrated strong transferability by successfully applying a model trained on COVID-19 data to malaria datasets.
๐ View Project Description (TUM Data Innovation Lab)
๐ View Project Description (TUM Data Innovation Lab)
PythonTensorFlowPyTorchNumPy

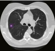
๐ฉป Time to Diagnosis: Predictive Modeling for Lung Cancer Screening
Practical Course: Applied Deep Learning in Medicine
We used low-dose CT scans from the National Lung Screening Trial (NLST) to predict lung cancer risk over time. Building on the Sybil model for time-to-event prediction, we compared various CNN encoders (ResNet, DenseNet), pretrained on both ImageNet and RadImageNet, to study how medical vs. general pretraining affects performance. We visualized learned features with t-SNE and assessed models using ROC and C-index metrics. A deep dive into model design, survival analysis, and AI for early cancer detection.
PythonTensorFlowPyTorchNumPy

๐ฎ Software Development of a Multiplayer Game
Developed a comprehensive multiplayer game in a six-person team. Led core gameplay mechanics, focusing on player logic and seamless UI integration. Implemented robust classes for server-client communication, ensuring real-time synchronization. Built entirely in Java for robust performance.
Java

๐ฌ Language Interface Semantic Search Assistance
We developed a RASA-based conversational agent that leverages semantic search and machine learning to map layman queries to structured NLP research domains. The system employs few-shot learning, TF-IDF, and SetFit-based classification to bridge the gap between natural language questions (e.g., 'How to build a talking robot?') and domain-specific concepts (e.g., 'Dialogue Systems' and 'Speech Recognition'). By integrating LLM-based prompting and knowledge retrieval, the chatbot facilitates intuitive exploration of NLP methodologies within a structured taxonomy.
PythonPyTorch

๐ CorMotion
Affective Computing - Emotion Recognition
Built a deep learning system capable of recognizing emotions from motion and voice data, providing insights into human behavior patterns and emotional states in real-time scenarios.
PythonTensorFlowKeras
๐ก LightBulb Game โ Multimedia Programming
LightBulb is a strategic puzzle game built with Unity and C#. Players navigate the maze using keyboard arrow keys to dig tunnels and light bulbs with limited electricity. Featuring dynamic animations, particle-based electricity flow, and immersive sound effects, it blends creative gameplay with technical precision.
UnityC#
๐ World Retiled โ Sketching with Hardware
World Retiled is an interactive board game combining hardware, software, and creative design. The wooden board features LEDs, a display, and a joystick for navigation. Terrain tiles are automatically recognized via voltage differences, while tangible Pokรฉmon figures enable strategic gameplay with player identification. The Pokรฉmon characters and the wooden aesthetic received great feedback for their appealing design.
MicroPythonRaspberry Pi PicoHardware

Towards an Intuitive Visualization of Activity, Movement, and Sleep Data
(Bachelor Thesis)
Designed a web-based interactive platform to visualize complex multidimensional health data, integrating data from Oura rings. The solution supports researchers in analyzing correlations between activity patterns, sleep behavior, and overall health metrics.
๐ View Bachelor Thesis
๐ View Bachelor Thesis
ReactD3.jsJavaScriptHTMLCSS
1st Prize
๐ค ChemBot โ Automating Lab Processes
Tech Challenge - UnternehmerTUM (๐ 1st Prize)
ChemBot is a prototype robotic arm designed to automate laboratory tasks for electrochemistry research. It features two robotic arms, an adjustable webcam, and a web-based interface, enabling precise control of needle movements to predefined sample points, particularly for solid-state battery analysis. The software, developed using Python and Flask on a Raspberry Pi Pico W, includes custom object detection algorithms for accurately identifying needle positions and managing real-time robotic control.
PythonFlaskRaspberry Pi
1st Prize

๐ฅ Automating Hospital Bed Allocation
(๐ 1st Prize - ONEAIM Hackathon)
Winner of the ONEAIM Hackathon, the final event of an interdisciplinary innovation program focused on Artificial Intelligence in Medicine (see resume). The project involved identifying hospital workflow pain points and designing a theoretically feasible software solution, supported by a compelling pitch deck. The experience fostered entrepreneurial thinking, strategic problem-solving, and confident idea presentation โ and, of course, fun. ๐